Click 'Topic Index' to return to the index for the current topic.
Click 'Library Index' to return to the listing of all topics.

Hodgkin Lymphoma: Introduction

What is cancer?

Cancer starts when cells in the body change (mutate) and grow out of control. To help you understand what happens when you have cancer, let's look at how your body works normally. Your body is made up of tiny building blocks called cells. Normal cells grow when your body needs them and die when your body does not need them any longer.

Cancer is made up of abnormal cells that grow even though your body doesn't need them. In most cancers, the abnormal cells grow to form a lump or mass called a tumor. If cancer cells are in the body long enough, they can grow into, or invade, nearby areas. They can even spread to other parts of the body. This is called metastasis.

What is Hodgkin lymphoma?

Hodgkin lymphoma is also known as Hodgkin disease. It's a type of cancer that starts in cells in the lymphatic system called lymphocytes.

With Hodgkin lymphoma, lymphocytes grow out of control. This most often happens in the lymph nodes. The mass of extra cells forms a tumor. Sometimes tumors form in the spleen or in other organs.

Understanding the lymphatic system

The lymphatic system is part of your immune system. It helps your body fight infection. It also helps balance fluid in different parts of your body. The lymphatic system includes:

  • Lymphocytes. These are a type of white blood cell. They fight infection and disease.
  • Lymph. This is a clear fluid that contains lymphocytes through the lymphatic system.
  • Lymph vessels. These are tiny tubes. They form a network all through your body to carry lymph fluid around the body and back to the bloodstream.
  • Lymph nodes. These are small, bean-shaped organs about the size of a pea. They're found in your underarms, groin, neck, chest, abdomen, and many other parts of your body. They're connected to lymph vessels and filter the lymph fluid as it moves through them and around your body.
  • Other organs and body tissues. The lymphatic system includes the bone marrow. This is the thick liquid in the center of bones where blood cells are made. It also includes your spleen, thymus, adenoids, tonsils, skin, and digestive tract.

Hodgkin lymphoma spreads through your lymph vessels to your lymph nodes. There, they can grow and form a tumor. Sometimes tumors form in the spleen or in other organs, too.

Front view of male outline showing immune system including bone marrow, tonsils, lymph system, spleen, and thymus.

How lymphoma spreads

Hodgkin lymphoma can start in any part of your lymphatic system. It can then spread anywhere in your body. It may also spread to your bone marrow and other organs. Lymphoma can spread in different ways. It depends on the type of lymphoma and where it first started growing.

Lymphoma that starts in an organ that's not a lymph node, such as the stomach, is called extranodal lymphoma. This type of lymphoma tends to first spread to the lymph nodes near that organ or to sites other than the lymph nodes, but this isn't common.

Types of lymphoma

Hodgkin lymphoma is different from other types of lymphoma. The other types of lymphoma are grouped together and called non-Hodgkin lymphomas.

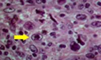
With Hodgkin lymphoma, cancer cells make up only a small part of the cells in a lymph node. The rest of the cells are normal immune cells. The cancer cells are usually special cells called Reed-Sternberg cells. In non-Hodgkin lymphomas, cancer cells make up most of a tumor. There are no Reed-Sternberg cells in the tumor.

Hodgkin and non-Hodgkin lymphoma also differ in the way they spread and in how they are treated.

Hodgkin lymphoma is one of the most curable forms of cancer.

Types of Hodgkin lymphoma

There are two main types of Hodgkin lymphoma. Each type grows in slightly different ways. The types are:

  • Classic Hodgkin lymphoma (cHL)
  • Nodular lymphocyte-predominant Hodgkin lymphoma (NLPHL)

Classic Hodgkin lymphoma is by far the most common type. It's further divided into four subtypes:

  • Nodular sclerosis (NSCHL). This is the most common subtype. In every 10 people with Hodgkin lymphoma, about 7 have this subtype. It's most common in teens and young adults. It tends to start in lymph nodes in the neck and the center of the chest.
  • Mixed cellularity (MCCHL). This is the second most common subtype of cHL. About 3 in 10 people with Hodgkin lymphoma have this subtype. It's mostly found in people with HIV. It can occur in all age groups but is more common in older adults. It's also more common in men.
  • Lymphocyte-rich (LR) or lymphoid-proliferative (LP). LP Hodgkin disease accounts for fewer than 1 in 20 cases. More men than women get it.
  • Lymphocyte depleted (LD). This is the fastest-growing type of Hodgkin lymphoma. This subtype is very rare. Only 1 in 100 people with Hodgkin lymphoma have this subtype. It's more common in older adults and people with HIV. It is associated with Epstein-Barr virus.

Nodular lymphocyte-predominant Hodgkin lymphoma (NLPHL) makes up about 1 in 20 of all Hodgkin lymphomas. It's more common in males than in females. It usually affects people ages 30 to 50. It forms large cells, called popcorn cells, and tends to grow slowly. The recovery for NLPHL tends to be very good overall. But a small number of people go on to develop a type of non-Hodgkin lymphoma that grows very quickly.

Talking with your doctor

If you have questions about Hodgkin lymphoma, talk with your doctor. Your doctor can help you understand more about this cancer.

Online Medical Reviewer: Jessica Gotwals RN BSN MPH
Online Medical Reviewer: Susan K. Dempsey-Walls RN
Date Last Reviewed: 9/1/2025
© 2026 The StayWell Company, LLC. All rights reserved. This information is not intended as a substitute for professional medical care. Always follow your healthcare provider's instructions.